
Reabilitação oral com cuidados estéticos traz melhores resultados
A reabilitação oral com cuidados estéticos tem o objetivo de devolver a função (mastigação e fala), a saúde (controle de focos infecciosos). Também a estética (deixar o sorriso harmônico, bonito e completo) em pessoas que estão com grave comprometimento oral.
Os principais problemas que levam à necessidade de um tratamento de reabilitação oral é a ausência dentária. Ausência dentária pelos diferentes motivos (doença periodontal, acidente, fratura, agenesia dentária, câncer bucal).
Mobilidade dentária (o dente fica móvel pela perda de suporte pela doença periodontal). Doenças periodontais ativas (infecções, placa bacteriana, tártaro, cáries, etc).
Problemas nos dentes podem gerar problemas de saúde – a reabilitação oral pode ajudar
São os problemas que prejudicam a mastigação, a fala, a estética bem como a saúde de uma forma geral. A pessoa com dificuldade para mastigar deixa de ingerir nutrientes fundamentais e não prepara o alimento para a digestão.
Como sabemos, a ausência dentária e outros problemas nos dentes podem afetar seriamente a autoestima e o lado psicológico de uma pessoa. É normal e aceitável que ela crie expectativas em relação ao tratamento bem como ao resultado final.
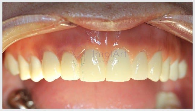
Portanto, o trabalho de reabilitação oral só é considerado bem feito quando a recuperação funcional não deixa de lado o resultado estético. Ele é importante para que o paciente se sinta completo, goste dos formatos dos dentes, goste da cor dos dentes, e tenha uma vida normal, e enfim possa voltar a sorrir.
Reconstruções e reabilitações dentárias grandes
Frequentemente para fazer um tratamento oral completo, são empregados tratamentos como:
- Coroas dentárias de porcelana
- Recobrimento oclusal de todos os dentes
- Projetos computadorizados para próteses dentárias
- Próteses adesivas (coladas)
- Pinos dentários de reforço
- Vários implantes dentários
- Restaurações brancas e tratamentos para a cárie
- Melhorar a oclusão e funcionamento da ATM
- Limpeza dos dentes
- Recuperações de dentes
- Extrações dentárias
- Cirurgias gengivais
- Prótese protocolo dentário
- Prótese dentária fixa
- Fragmentos cerâmicos
- Coroas de zircônia pura
- Coroa de porcelana para implante dentario
- Profilaxia periodontal dos dentes
- Implante dentário nos dentes da frente
Equipe de dentistas multidisciplinar
A reabilitação oral normalmente envolve o trabalho conjunto de diferentes áreas da odontologia para que alcance o resultado mais próximo possível do excelente.
- A implantodontia e a protética, para reposição de elementos perdidos.
- A endodontia para tratamento de canal.
- A ortodontia para alinhamento dentário e harmonização funcional das arcadas.
- A periodontia para a eliminação e controle de infecções, e é claro, a dentística, responsável pelas restaurações e estética dental.
- A reabilitação oral com cuidados estéticos certamente traz melhores resultados.
- Odontologia digital com moldagens sem massa, usando scanners dentais.
Um sorriso estético é aquele que está em harmonia com a face e a personalidade. Hoje em dia, por exemplo, as próteses dentárias feitas em nosso laboratório de prótese, e utilizadas para reposição de dentes perdidos imitam até mesmo os pequenos detalhes dos dentes naturais, como pequenas irregularidades na superfície e o degradê de tons.
O paciente tem liberdade de escolher, com a ajuda do dentista, o formato, a cor e a textura de dentes bem como gengivas artificiais. Além de saudável, um sorriso completo e harmonioso sem dúvida motiva e deixa a pessoa mais feliz e confiante.
Não é justo levar uma vida condenada ao sofrimento e a vergonha pela falta de dentes ou então por dentes doentes. A reabilitação é certamente uma solução possível.
Em caso de dúvidas sobre o preço ou condutas clínicas, agende uma consulta ou então entre em contato conosco. Ficaremos felizes em atendê-lo.
Endereço e Contatos da ImplArt, considerada como a melhor clínica de estética de dentes no Brasil. (The best dental clinic in Brazil)
Rua Cincinato Braga, 37 – cj 112
Bela Vista – São Paulo/SP – Região da Av. Paulista
Roberto Markarian
Comentários (2)
Deixe um comentário Cancelar resposta
Este site utiliza o Akismet para reduzir spam. Saiba como seus dados em comentários são processados.




gostaria muito de fazer uma reforma na minha boca haja vista que ,meus dentes já se estragaram alguns
Aguardamos a sua visita em nossa clínica ! Já retomamos os trabalhos mesmo com a epidemia do coronavirus