
Enxerto ósseo para implante dentário: quando fazer?
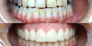
O enxerto ósseo para implante dentário representa uma revolução na odontologia restauradora, oferecendo soluções para pacientes que anteriormente eram considerados não elegíveis para implantes devido à insuficiência óssea.
Esta técnica inovadora tem o poder de reconstruir a estrutura óssea necessária para o suporte de implantes dentários, abrindo portas para um sorriso mais saudável e estético. Mas, quando é o momento certo para considerar um enxerto ósseo?
Em geral, essa necessidade surge quando o osso da mandíbula é muito fino ou fraco para suportar um implante de maneira segura. Várias condições, como perda óssea devido à doença periodontal, uso prolongado de dentaduras ou até mesmo o processo natural de envelhecimento, podem levar a essa situação.
Sempre que um dente é perdido, o osso que se encontrava ao redor do dente é reabsorvido, esse processo de reabsorção óssea ou atrofia. Essa atrofia torna o osso progressivamente mais fino, tornando a colocação do implante quase que impossível. A não ser que seja recriado o osso com enxertos ósseos.
A clínica ImplArt já realizou mais de 10.000 procedimentos de enxertos ósseos de diferentes tipos de necessidades, por isso preparamos este material para que você possa compreender melhor o procedimento e assim não ter receio de realiza-lo.
Neste post, exploraremos os sinais que indicam a necessidade de enxertia de osso e como esse procedimento pode ser o primeiro passo para restaurar seu sorriso.
Ouça ao Dr. Markarian, especialista em cirurgias preparatórias para implante dentário
Conteúdo deste artigo sobre implante de osso
Enxerto ósseo para implante dentário por que é necessário?
Existem casos que estes dentes foram perdidos há muitos anos, o que torna necessário a realização de um procedimento para recriar o osso perdido. Isso é denominado enxerto ósseo. Uma prótese dentária de transição deverá ser planejada para que o paciente não fique sem os dentes durante o tratamento.


De onde vem o osso para fazer o enxerto ósseo dentário?
O melhor material para enxertos ósseos dentários, que apresenta os melhores resultados é o osso do próprio paciente. É obtido, por exemplo, durante a preparação do orifício do implante. Todavia mais modernamente os enxertos ósseos podem ser realizados com material sintético. A vantagem dos materiais artificiais é de não necessitarem remover o osso do próprio paciente e com isso diminuem a morbidade do procedimento.

Em uma cirurgia de enxertia óssea com material sintético, o cirurgião se concentra apenas na área do implante ósseo e não mais em uma área doadora de osso.
Os chamados biomateriais para enxertos ósseos dentários evoluíram muito em termos de biocompatibilidade (afinidade com o corpo humano e baixo índice de alergias e rejeição).
O biomaterial atual para a enxertia dos ossos da boca tem um alto grau de conversão em osso e alta previsibilidade, o que pode ser encontrado em materiais tanto brasileiros como importados, com grandes vantagens para os importados.
Os grânulos de osso bovino liofilizado são bons materiais para enxertos ósseos. Não se trata do osso bovino bruto mas sim de um cristal de hidroxiapatita obtido do osso bovino que é tratado por química e temperatura para atingir seu estado comercial final.

O enxerto ósseo para a boca é complicado?
Tudo depende do tipo de complemento ósseo dentário necessário que pode ser algo bem pequeno ou também uma cirurgia maior.
- Enxertos ósseos de complexidade menor: São aqueles para pequenas ausências de osso, ou para complementar o volume de osso logo após uma extração dentária e implante dental, por exemplo. Caso não seja feita a enxertia simultânea a gengiva da região pode murchar e o futuro dente vai ficar maior do que o ideal. Em geral para pequenos enxertos usamos os grânulos ou pó de osso bovino que são práticos de usar e tem um excelente resultado e custo / benefício.
- Enxertos ósseos de tamanho médio: entre enxertos médios podemos exemplificar como o enxerto do maxilar superior posterior (do fundo da boca), também chamado de levantamento do seio maxilar, elevação da membrana do seio maxilar, sinus lift, enxerto de Summers.
Enxertos ósseos regionais também tem complexidade mediana e são indicados para atrofias severas de um segmento (horizontal ou vertical). Esses casos podem ser resolvidos com técnicas de enxertos em blocos ou telas de titânio.
Outros casos envolvem regiões menores como um ou dois dentes que tem como causa infecções dentarias localizadas ou perdas ósseas / dentárias antigas.
- Enxertia de osso grande: em casos de grandes perdas ósseas como por exemplo em uma arcada dentária inteira, podem ser considerados enxertos grandes.
Como precisamos de muito material em enxertias grandes (para todos os dentes), utilizamos como área doadora o osso da bacia, chamado osso ilíaco, o que requer internação hospitalar e a presença de um médico ortopedista. Porém este método quase não é mais utilizado, pois há outras formas de realizar o caso.
Técnicas de implante dentário sem enxertos

Algumas técnicas podem ser utilizadas para resolver casos sem enxerto de osso entre elas os implantes dentários curtos, implantes zigomáticos, implantes angulados, carga imediata, implantes dentários mais finos, técnica all on 4 (all on four).
Com destaque especial podemos citar a técnica de cirurgia guiada para o implante dentário, que permite planejar por computador todo o processo de implantes, passo a passo a fim de mapear a estrutura do osso maxilar.
Essas técnicas visam modificar o comprimento ou posição dos implantes para fugir de estruturas anatômicas como nervos e ancorar o implante em um osso seguro. São técnicas seguras mas a indicação dependerá de uma avaliação clínica bem detalhada para prever o tratamento necessário e o valor.
Novas técnicas para enxertos de osso menos invasivos
É importante informar ao leitor que de forma ideal sempre tentaremos usar a técnica menos invasiva para resolver o caso. Isto quer dizer que o enxerto de tecido sempre será o melhor possível, com a menor invasividade e maior chance de sucesso.
Esta filosofia é mais atual e contrasta com os enxertos ósseos feitos antigamente que abrangiam grandes áreas, sendo que as usadas para implantes realmente eram apenas locais pontuais.
São técnicas de enxertos menos invasivos as técnicas com osso em pó e membranas de colágeno, osso em grânulos, enxerto da maxila por técnica de Summers.
Os exames de imagem atuais também avançaram bastante e permitem um diagnóstico muito bom da situação clínica antes de fazer o tratamento, a fim de evitar enxertos, quando possível.
E se eu tiver medo de fazer um enxertos na minha boca
Os implantes dentários resolvem muito bem problemas de pessoas que perderam seus dentes há muitos anos e não se acostumam com dentaduras.
Por isso é muito importante vencer esse medo que bloqueia algumas pessoas. Caso a pessoa ainda tenha muito medo, podemos fazer o tratamento cirúrgico dos implantes com o paciente sedado, o que significa que ele não verá nada.
E então já se animou para fazer seu implante dentário com enxerto ósseo? Não tenha medo, o tratamento vale a pena no final!
Em nossa clínica ImplArt já realizamos mais de 10.000 procedimentos de enxertos ósseos associados ou não a implantes, com diferentes necessidades seja espessura altura de urso e altas taxas de sucesso.
Conclusão sobre enxertos de osso
Em resumo, o enxertos preparatórios para implantes dentários são um procedimento essencial quando o paciente não possui suficiente densidade óssea para suportar um implante.
Este procedimento torna-se necessário em casos onde há perda óssea significativa devido a doenças periodontais, perda de dentes, ou outras condições que afetam a integridade do osso mandibular.
O enxerto de osso não apenas fornece a base necessária para o sucesso dos implantes dentários, mas também contribui para a melhoria estética e funcional do sorriso do paciente.
O timing para realizar um enxerto ósseo varia de acordo com as necessidades individuais de cada paciente e deve ser determinado por um profissional qualificado.
O sucesso do procedimento depende de vários fatores, incluindo a qualidade do osso do paciente, o tipo de enxerto realizado e o cuidado pós-operatório.
Portanto, é crucial consultar nossos especialistas em implantodontia para avaliar sua situação específica e determinar o melhor momento para realizar um enxerto ósseo, garantindo assim a eficácia e a durabilidade do implante dentário.
Ainda tem dúvidas? Comente abaixo e pergunte sobre implante dentário, enxerto ósseo, preço, melhor Day Clinic, estética dental e próteses em porcelana e zircônia
Endereço e Contatos da ImplArt, considerada como a melhor clínica de estética de dentes no Brasil. (The best dental clinic in Brazil)
Rua Cincinato Braga, 37 – cj 112
Bela Vista – São Paulo/SP – Região da Av. Paulista
Roberto Markarian
Comentários (4)
Deixe um comentário Cancelar resposta
Este site utiliza o Akismet para reduzir spam. Saiba como seus dados em comentários são processados.




Boa noite,estou me sentindo um pouco insegura para fazer este implante que se retira do osso ilíaco,pois estou fazendo em uma Universidade. Estarei sendo a experiencia deles,me ajudem.Preciso de mais informações a respeito.Quais os riscos e a porcentagem de dar certo.Aguardo.Moro em Fortaleza Ceara.
Diana,
Hoje em dia quase não utilizamos osso do ilíaco para enxertos. O mais usado é fazer com osso do banco de tecidos. Nós utilizamos o material do HC-USP que é testado para todo tipo de doenças, você já ouviu falar?
Veja mais: https://implantedentario.com.br/implante/cirurgia-de-implantes-guiados/
Bom dia estou pra fazer implante mas com medo ,li várias matérias que é possível fazer implante sem enxertos quais as vantagens e desvantagem obrigada
Beatriz usar ou não enxerto não é uma simples escolha do implantodontista ou do paciente.
Existem situações nas quais tecnicamente pode-se utilizar um caminho ou outro.
Depende muito da preferencia do profissional e da sua experiencia pessoal.
Porém não tenha medo dos enxertos ósseos, podem ser algo muito simples.