
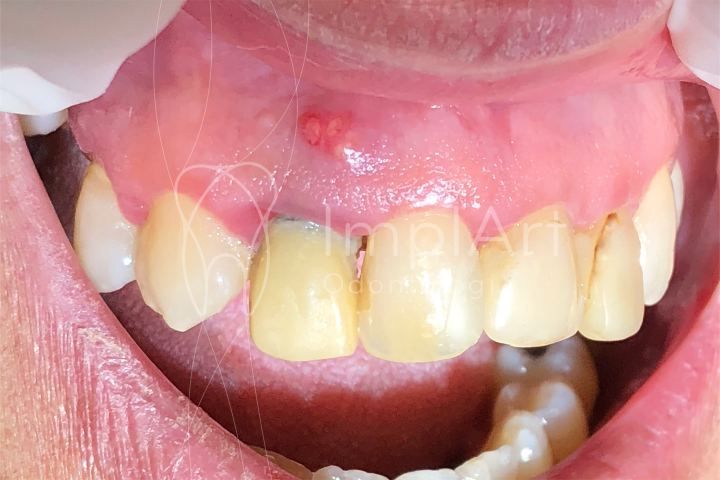
Fístula dental: o que é essa bolinha na gengiva com pús?
Bolinha amarela na gengiva, bolha na gengiva ou bolinha vermelha na gengiva são os principais sintomas de fístula dental. Trata-se de uma reação do organismo por causa de alguma infecção no dente.
A pústula pode ser acompanhada de dor, gosto ruim na boca ou cheiro forte. Ela pode indicar a necessidade de realização de um tratamento de canal. E quando recomendado, deve ser realizado com brevidade para amenizar os sintomas e combater a infecção. Dessa forma, este atendimento deverá ser realizado para evitar perdas dentárias, e consequente necessidade de realização de implante dentario.
O que é uma bolinha amarela na gengiva?
A fístula dental é caracterizada pelo surgimento de uma ou mais bolinhas na gengiva, na maioria das vezes de cor amarelada, por reação à uma infecção na região supra gengival. A cor amarelada é, portanto, sinal de acumulo de pus.
Essa condição é comum nos casos de cárie profunda, infecção dos canais, perfuração ou fratura da raiz dentária, periimplantite (infecção em torno de um implante dentário), entre outros motivos.
As lesões são facilmente identificadas pela pessoa em casa e também no consultório. Em geral elas não causam dor, mas é preciso que um dentista avalie para investigar o que está causando esta fístula e tratar o dente e a gengiva e evitar problemas mais sérios, como a perda do dente.

Para ajudar no diagnóstico, além de um exame clínico, o dentista precisa realizar uma radiografia do dente para avaliar sua saúde e integridade, assim como avaliar a extensão da infecção.
E uma bolha na gengiva o que pode ser ?
Uma bolha na gengiva, frequentemente referida como abscesso gengival ou periodontal, é uma condição que pode sinalizar uma infecção bacteriana na região da boca. Essa bolha pode ser o resultado de uma variedade de fatores, incluindo a progressão de uma doença gengival não tratada, uma infecção resultante de uma cárie profunda que alcança a raiz do dente, ou um trauma que afeta a gengiva.
Quando as bactérias se infiltram nas profundezas da gengiva ou da estrutura do dente, elas podem causar a acumulação de pus, formando assim uma bolha dolorosa e inchada. Esta condição não apenas causa desconforto e dor ao paciente, mas também pode levar a complicações mais graves se não for tratada adequadamente, como a propagação da infecção para outras partes da boca ou até mesmo para o corpo.
Qual o tratamento para a bolha na gengiva?
O tratamento para uma bolha na gengiva geralmente envolve a drenagem do abscesso para eliminar o pus e a infecção, seguido de uma limpeza profunda da área afetada. Em alguns casos, pode ser necessário o uso de antibióticos para erradicar completamente a infecção. É crucial procurar atendimento odontológico imediato em nossa clínica ao notar qualquer formação de bolha na gengiva para evitar complicações e promover uma recuperação rápida e eficaz.
Fístula dental tratamento
O tratamento da fístula dental vai depender do motivo que está levando a isso. O tratamento pode ir desde a prescrição de antibiótico para fístula na gengiva até a extração do dente. Muitas pessoas até perguntam se para fístula dental há tratamento caseiro, por exemplo, como drenar uma fístula na gengiva.
É muito importante buscar atendimento profissional de um dentista, pois a tentativa de solucionar o problema em casa não trata a doença, e além disso pode piorar a situação.
Na maioria das vezes a fístula aparece como um acumulo de pus na região supragengival, e a infecção chega até esta região por uma abertura do dente causada por cárie (buraco no dente).
Em casos moderados de cárie, uma restauração pode ser indicada com o principal intuito de fechar a fissura no dente e impedir a entrada de bactérias. O dentista também pode realizar a correta drenagem do pus.
A fratura dental pode indicar a realização de um implante dentário de urgência. O pus (fístula) tem que ser eliminado imediatamente.
Já nos casos de cárie profunda, há uma deterioração mais significativa do esmalte e dentina que permite a entrada de bactérias nos canais e polpa dentária.
Para este caso o tratamento indicado quase sempre é o tratamento de canal, que basicamente consiste na retirada da polpa infectada, limpeza e obturação dos canais, seguido pelo fechamento do dente com a instalação de uma coroa.
Quando a extração do dente é inevitável, o melhor tratamento então é a sua reposição deste dente por um implante dentário e coroa fixa.
Em todos os casos, com a limpeza e remoção dos tecidos infectados, a fístula deve desaparecer em poucos dias.

Como evitar? Fístula dental e perigoso?
Manter bons hábitos de higiene bucal, praticando a escovação dos dentes após as refeições, uso de fio dental para retirar alimentos entre os dentes. Usar enxaguante bucal e realizar consultas regulares ao dentista são fundamentais para evitar as doenças odontológicas que fazem surgir uma fístula.
Ele pode indicar uma limpeza profissional a cada 6 meses para eliminar acumulo de placa e tártaro nos dentes, pois esses são os principais focos de proliferação bacteriana no meio bucal.
A causa da fístula precisa ser tratada, não só pela manutenção da saúde bucal, como também da saúde em geral. Uma infecção nessa região pode deteriorar estruturas importantes do dente. Além disso, qualquer foco infeccioso precisa ser tratado para evitar que bactérias entrem na corrente sanguínea.
A presença de fístula, drenagem de pús ou infecção nos dentes pode levar à perda óssea dentária, retração gengival e por consequência complicar a colocação e implantes dentários no futuro, dependendo da sua extensão.
Fístula dental infantil
A causa mais comum da fístula dental em crianças é o trauma nesta região devido a algum acidente doméstico, durante uma brincadeira, uma queda, etc.
A fístula surge porque houve um traumatismo e que há infecção no local e áreas próximas, como por exemplo gengivas e mucosa. Neste caso é levar a criança ao consultório odontológico para receber o tratamento mais adequado.
Resumo de navegação – Como saber se tenho uma fistula de pús ?
Endereço e Contatos da ImplArt, considerada como a melhor clínica de estética de dentes no Brasil. (The best dental clinic in Brazil)
Rua Cincinato Braga, 37 – cj 112
Bela Vista – São Paulo/SP – Região da Av. Paulista

Roberto Markarian
Este site utiliza o Akismet para reduzir spam. Saiba como seus dados em comentários são processados.
Deixe um comentário