
Prótese flexível removível sem grampos – flex
Uma prótese flexível, fina, leve e macia, com grampos invisíveis que circundam os dentes naturais, é a prótese flex. As parciais flexíveis são um produto de qualidade que oferecem os benefícios de estética, conforto, função e biocompatibilidade.
Na odontologia, existem muitas opções para a substituição de dentes ausentes – implantes dentários, pontes dentárias fixas, próteses dentárias parciais removíveis e próteses dentárias totais (dentaduras).
Muitos pacientes escolhem próteses dentárias parciais removíveis devido a fatores que variam do custo à fisiologia. As próteses dentárias parciais removíveis se tornaram muito populares há muitas décadas, quando ligas de metal e as resinas acrílicas foram inventadas na indústria odontológica.
As novas próteses flexíveis são também conhecidas como prótese Flex, ou próteses de silicone sem grampos metálicos, tem sido uma tendência de evolução desta área pois tem diversas vantagens em relação as próteses removíveis metálicas principalmente.
O maior conforto, melhor estética, excelente funcionalidade estão entre os principais destaques da prótese flexível e que tem se tornado uma opção cada vez mais popular. Veja neste artigo as principais características das próteses flexíveis e veja se pode ser uma boa opção para resolver suas necessidades.
Caso tenha interesse, venha fazer uma consulta conosco pois temos grande experiência na elaboração da prótese tentaria flexível de silicone!
Conteúdos deste artigo
Avanços na prótese flexível removível
Porém, agora, a prótese flexível dentária removível sofreu uma evolução em materiais e forma de fazer.
Os dentistas estão utilizando os próteses dentárias flexíveis de silicone, porque criam próteses parciais melhores e confortáveis.
A resistência e flexibilidade do material é perfeitamente adequada à variedade de condições naturais da boca, simplificando o design e permitindo que a resina flexível atue como um amortecedor, a fim de fornecer função superior e distribuição de tensões em uma prótese parcial removível.
“A diferença de conforto de uma prótese flexível é parecida com usar um tênis com amortecedor de borracha ao invés de um sapato de madeira”
Relato de paciente

Prótese flexível de silicone na odontologia
A prótese dentária flexível é uma prótese feita com resinas específicas. Devido às suas especificações, a prótese é totalmente flexível, porém mantendo a rigidez necessária para a substituição da função dentária ausente. Esse novo tipo de prótese é muito popular entre pessoas que não desejam a prótese acrílica convencional rígida.
Uma prótese dentária removível flexível é um dos métodos mais estéticos, confortáveis e acessíveis de substituição dentária disponíveis atualmente, quando o paciente não deseja ou não pode instalar o implante dentário.
A prótese flexível apresenta vantagens
- Alto conforto de uso
- Desgaste da prótese menor (boa durabilidade)
- Praticamente inquebrável – menor probabilidade de fraturar prótese
- Menor incidência de lesões ou dor na gengiva pelo uso da prótese (principalmente no começo)
- O material não tem cheio / odor
- Irritação gengival menor
- Maior eficiência mastigatória em comparação com próteses convencionais.
Ao contrário das dentaduras acrílicas, elas são feitas de uma resina termoplástica (usa calor) de nylon ultrafina, muito flexível (mais confortável para mastigar e falar) e durável.
O material não absorve odores ou manchas. Entretanto evita a alergia se os pacientes sofrem de alergias a acrílicos ou a certos metais, sendo considerado um material mais biocompatível.

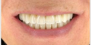
Alguns pacientes sentem que o aparelho “desaparece” ou é “invisível” na boca, portanto a estética é muito superior às próteses parciais de acrílico / metal convencionais.
As próteses flexíveis são estéticas e confortáveis. Estéticas, porque não exibem grampos de metal e confortáveis porque são leves, e não há sabor metálico nem aparelho rígido e volumoso na boca.
Benefícios da prótese flexível Flex
ESTÉTICO – o material translúcido combina naturalmente com o tom de cor do tecido gengival e substitui os grampos metálicos por grampos de cor da gengiva
CONFORTÁVEIS – finos, leves, e confortáveis com material elástico que permite um ajuste da retenção com precisão
BIO-COMPATÍVEL – não alergênico, não contém resinas como as dentaduras comuns que podem fritar as gengivas.
FUNCIONAL – a flexibilidade cria um efeito anti-stress, com menor cobertura do céu da boca/lingua, sendo mais higiênica e atrapalha menos a fala.

Você pode escolher a cor de dentes e gengivas
A resina flexível está disponível em cinco tons de gengiva natural, além de uma cor transparente.
De preferência usaremos dentes artificiais importados que trazem mais estética, durabilidade e resistência. Em termos de cores de dentes temos aproximadamente 20 opções para assemelhar a aparência com seus dentes restantes na boca.
Quantos dentes posso repor com uma aparelho dentário flexível?
Próteses removíveis podem ser parciais (alguns dentes) ou totais.
Materiais flexíveis para próteses parciais são uma excelente opção para muitos pacientes parcialmente desdentados.
Também é possível criar dentaduras completas para pacientes que perderam todos os dentes, em material flexível. Entretanto essa prótese requer que o paciente tenha a gengiva ainda bem alta para ajudar a segurar a dentadura.

Outras aplicações da prótese dental flexível
As propriedades físicas o tornam mais adaptável também em casos que envolvem pacientes pediátricos, reabilitação oral após o câncer bucal e fendas palatinas.
Devido à sua excelente biocompatibilidade, a prótese dentária removível flexível também é um substituto ideal para acrílico quando os pacientes são alérgicos aos acrílicos para próteses dentárias comuns.
Aplicações adicionais para a prótese dentária removível flexível incluem aparelhos para bruxismo, overdentures retidas por implantes e próteses totais para pacientes com estruturas ósseas grandes.
Não será necessário desgastar seus dentes
A prótese flexível usa uma técnica exclusiva de suporte na gengiva para retenção, para a qual não é necessária nenhuma preparação ou desgaste de dente ou tecido. Abrasivos e técnicas especiais permitirão ajustes para melhorar o encaixe ou quando a prótese dentária machuca, exatamente como se faria com o acrílico.
Próteses Dentárias flexíveis também têm algumas desvantagens
Uma das desvantagens das parciais flexíveis é a prótese se movimentar mais. Portanto o metal ainda daria uma firmeza maior do que uma prótese de silicone.
Além disso, o material flexível é uma resina (plástico) e naturalmente não é tão resistente quanto uma barra de metal fundido.
Existem casos também nos quais o paciente perdeu muitos dentes no fundo da boca, pode ser mais estável usar uma prótese com metal.
Você ainda poderá escolher fazer um implante dentário
A maioria dos pacientes tende a escolher fazer implantes dentários ao invés de uma prótese dentária móvel. No entanto, se os implantes não forem uma opção, uma prótese flexível pode ser realizada.
Em um futuro próximo as próteses flexíveis serão feitas por técnicas 3D
A técnica de escaneamento intraoral para elaborar próteses removíveis está ainda em desenvolvimento, mas em breve estará disponível em nossa clínica.
A futura geração de próteses dentárias usará processos de digitalização e fabricação computadorizada.
Entretanto hoje em dia ainda usamos técnicas de moldagem com massa para produzir tais próteses dentais.

Etapas da fabricação de uma prótese dentária flexível
Do ponto de vista do técnico, o processo de design é simplificado com materiais flexíveis.
Próteses dentais flexíveis também exigem menos consultas e a entrega final é feita mais rápida.
No entanto, todos os requisitos de uma prótese parcial são os mesmos e se aplicam independentemente dos materiais utilizados.
Ainda é importante ter retenção, estética, suporte e estabilidade. Esses são requisitos que você não pode ignorar em qualquer prótese parcial.
Quanto custa uma prótese flexível? Qual o valor?
O custo de uma moderna prótese dentária flex pode ser ligeiramente superior ao da prótese parcial acrílica convencional, porque o tempo de montagem e acabamento no laboratório aumenta, mas o resultado faz com que valha a pena.
O valor do orçamento exato deverá ser estabelecido em uma consulta presencial a fim de determinar qual o planejamento e conjunto de tratamentos adequado para seu caso.
Devo fazer uma prótese flexível flex ?
Os pacientes em geral ficam muito satisfeitos com essas próteses dentárias flexíveis, porque são fabricadas rapidamente e não precisam de várias consultas. Por essas vantagens, hoje de fato fazemos muito poucas próteses parciais removíveis acrílicas de metal tradicionais, pois as pessoas tem optado pela prótese flexível ou pelo implante dentário com prótese fixa parcial ou implante dental total.
Há casos nos quais não é possível realizar próteses dentárias móveis
A prótese dental removível, tem como objetivo substituir parcialmente ou todos os dentes.
Os dentes artificiais são suportados apenas pelo tecido mole (gengiva) e pela estrutura óssea subjacente.
Dessa forma, a prótese fica presa na boca pela ação conjunta de pequena retenção da anatomia que permanece no osso alveolar, língua, músculos faciais e, no caso das próteses superiores, o efeito de vácuo entre a superfície interna da prótese e o palato (teto de boca).
A retenção dessas próteses é muito problemática quando há uma reabsorção quase total do osso alveolar (osso e gengiva), ou quando os dentes remanescentes estão ruins. Nesta situação, a única solução é recorrer a implantes.
Outra situação é quando faltam dentes só de um lado e o dentista pode optar por fazer uma prótese unilateral. Porém ATENÇÃO: isto não deve ser feito pois há um grande risco de que a prótese se solte podendo asfixiar o paciente.
Em alguns casos obervamos em nossos pacientes que as próteses flex podem causar uma perda óssea na região protética sem dentes, e portanto se houver a intenção futura de fazer implantes, pode ser melhor usar próteses fixas como temporárias.
Conclusão
As próteses dentárias parciais removíveis se tornaram muito populares há muitas décadas, quando ligas de metal e as resinas acrílicas foram inventadas na indústria odontológica. A
s novas próteses flexíveis são também conhecidas como prótese Flex, ou próteses de silicone sem grampos metálicos, têm sido uma tendência de evolução nesta área pois têm diversas vantagens em relação às próteses removíveis metálicas principalmente. O maior conforto, melhor estética, excelente funcionalidade estão entre os principais destaques da prótese flexível e que têm se tornado uma opção cada vez mais popular. Veja neste artigo as principais características das próteses flexíveis e veja se pode ser uma boa opção para resolver suas necessidades.
Caso mais dúvidas ou interesse, fale conosco e venha fazer uma consulta conosco pois temos na Clínica ImplArt um laboratório próprio com grande experiência na elaboração da prótese dentária flexível de silicone!
Endereço e Contatos da ImplArt, considerada como a melhor clínica de estética de dentes no Brasil. (The best dental clinic in Brazil)
Rua Cincinato Braga, 37 – cj 112
Bela Vista – São Paulo/SP – Região da Av. Paulista
Roberto Markarian
Comentários (16)
Deixe um comentário Cancelar resposta
Este site utiliza o Akismet para reduzir spam. Saiba como seus dados em comentários são processados.




Gostaria de uma consulta presencial
Olã Julio entraremos em contato para organizar sua vinda a nossa clínica odontológica
É possível fazer uma prótese flex superior sem o céu da boca?
Se existir um bom numero de dentes remanescentes é possível reduzir bastante o volume no céu da boca em uma prótese flex.
Entretanto o céu da boca não poderá ser removido completamente pois é ele que dá estrutura a essa prótese flexível.
Boa tarde , tenho interesse em uma protese dentaria com aste” granpo” transparente
Olá, tudo bem? Agende sua consulta de avaliação pelo Whatsapp 11 3262-4750
Bom dia !!!
Vocês trabalham com convênio Amil Dental ?
Obrigada.
olá infelizmente hoje em dia não atendemos pelo plano Amil
Olá,gostaria de fazer uma revisão para saber se há como eu fazer uso nesse modelo.
Para analisarmos a viabilidade em seu caso por favor venha para uma consulta presencial, ou alternativamente agende uma consulta on-line e conversaremos a respeito
moro no RS tem alguma afiliada aqui que eu possa consultar…
em alvorada-RS
estamos localizados em São Paulo capital, na região da avenida paulista somente
Eu to gostando muito dessa prótese,só q eu to com um problema,faz 5 dias q coloqiei a minha e não to conseguindo remover ,parece q ta grudada.
Você deve remover só pra trazer ao menos 1 vez ao dia para realizar a genes ação adequada. Caso não consiga converse com seu dentista pois ele deverá ajustá-la.
Pode-se fazer limpeza,ou seja,a retirada da prótese flexível grampo dr silicone diariamente sem que danifique?
Sim é importante que você removeu diariamente essa prótese para realizar sua limpeza constantemente.