
Album de fotos – Implante dentário e estética dental – ImplArt
Tópicos
Veja fotos de tratamentos com implante dentário, estética dental, prótese dentária, reabilitação oral, odontologia digital.
Você já imaginou como a odontologia moderna pode transformar sorrisos e, consequentemente, vidas? Neste artigo, convidamos você a explorar uma impressionante coleção de fotos que ilustram os resultados incríveis da clínica ImplArt de tratamentos com implantes dentários, procedimentos de estética dental, próteses dentárias, reabilitação oral e as mais avançadas técnicas de odontologia digital. Descubra como a tecnologia de ponta está revolucionando a saúde bucal e proporcionando sorrisos mais saudáveis e confiantes a nossos pacientes.
Transformações sorriso a sorriso
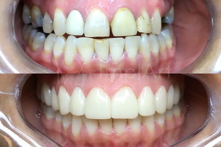
O impacto visual nas fotos de antes e depois em Implantes Dentários
A odontologia moderna oferece soluções incríveis para restaurar sorrisos e transformar vidas. Uma maneira poderosa de visualizar essa metamorfose é por meio de fotos de antes e depois em implantes dentários. Neste artigo, exploraremos o fascinante mundo das transformações, discutindo diferentes tipos de casos, a importância de conhecer o tratamento e processo de implantes, destacando como as fotos de antes e depois de implante são testemunhas visuais dessa jornada.
1. O poder das imagens
Fotos de antes e depois que contam histórias
As fotos de antes e depois em implantes dentários são mais do que simples registros visuais; são narrativas visuais de transformação. Essas imagens capturam não apenas o estado físico dos dentes, mas também a expressão emocional dos pacientes antes e após o tratamento. Ao observar as fotos, é possível testemunhar a evolução de um sorriso, desde a insegurança causada pela perda dentária até a confiança radiante restaurada pelos implantes.
Essas imagens impactantes não só fornecem uma compreensão visual do sucesso do tratamento, mas também inspiram outros que podem estar hesitantes em buscar a mesma transformação. A transparência dessas fotos cria uma conexão emocional, destacando que a mudança é possível e que cada sorriso tem uma história única a contar.
2. Tipos de casos
da necessidade única à reconstrução completa
A diversidade de casos de implantes dentários é vasta, e as fotos de antes e depois oferecem uma visão aprofundada de como essa abordagem pode ser personalizada para atender às necessidades individuais. Algumas das categorias comumente encontradas incluem:
- Substituição de dente único: Fotos mostrando a transformação de um sorriso com a substituição de um único dente ausente, evidenciando como um implante pode integrar-se de maneira natural à dentição circundante.
- Reabilitação de arcada: Imagens de casos que envolvem a reconstrução completa de uma arcada dentária, ilustrando a capacidade dos implantes em proporcionar suporte para próteses fixas e restaurar a função mastigatória.
- Casos complexos de reabilitação oral: Fotos que documentam situações mais desafiadoras, como enxertos ósseos ou elevação de seio maxilar, ressaltando como a odontologia moderna pode superar obstáculos para restaurar sorrisos.
- Implantes em pacientes jovens e idosos: A comparação de fotos de antes e depois em diferentes faixas etárias destaca como os implantes dentários são uma opção viável para uma variedade de pacientes, independentemente da idade.
- Impacto estético e funcional: Fotos que enfatizam não apenas a melhoria estética, mas também o impacto funcional dos implantes dentários, mostrando como a restauração da função mastigatória pode melhorar a qualidade de vida.
3. A importância de conhecer o tratamento
Educação como ferramenta de empoderamento
Conhecer o tratamento e o processo de implantes dentários é essencial para qualquer pessoa considerando essa opção. As fotos de antes e depois, quando acompanhadas de informações detalhadas sobre o tratamento, oferecem uma perspectiva completa e realista do que os pacientes podem esperar.
Ao entender os estágios do tratamento com implantes, os requisitos de cuidados pós-operatórios e as possíveis complicações, os pacientes se sentem mais preparados e confiantes em sua decisão. A educação é uma ferramenta poderosa que permite aos indivíduos participar ativamente do seu próprio tratamento, tornando-se parceiros informados ao lado de seus profissionais de saúde bucal.
4. Fotos de implantes dentarios antes e depois
Veja a seguir fotos de antes e depois em implantes dentários também em nossa clínica que documentam o processo de transformação. Essas imagens muitas vezes incluem:












- Consulta inicial: Fotos tiradas durante a consulta inicial, onde o dentista avalia a condição bucal do paciente, discute expectativas e elabora um plano de tratamento personalizado.
- Cirurgia de implante: Imagens que mostram o momento da cirurgia de implante, destacando a precisão e habilidade dos profissionais envolvidos.
- Cicatrização e osseointegração: Fotos tiradas durante o período de cicatrização e osseointegração, ilustrando como os implantes se integram naturalmente aos tecidos circundantes.
- Colocação da prótese: Registros visuais da fase final, quando a prótese é fixada ao implante, revelando a transformação completa do sorriso.
- Acompanhamento pós-tratamento: Imagens de consultas de acompanhamento, mostrando a saúde contínua dos implantes e a satisfação duradoura do paciente.
5. A mudança que perdura
Fotos de antes e depois como inspiração contínua para novos tratamentos reabilitiadores
As fotos de antes e depois em implantes dentários não são apenas um registro do passado, mas uma fonte contínua de inspiração. À medida que os pacientes continuam a desfrutar de seus sorrisos transformados, essas imagens lembram-lhes do caminho percorrido e do impacto positivo que a decisão de optar por implantes teve em suas vidas.
Além disso, essas fotos também servem como uma ferramenta valiosa para implantodontistas e pacientes , ajudando-os a compartilhar histórias de sucesso e a destacar a eficácia do tratamento com os pacientes em potencial. A inspiração gerada por essas imagens contribui para criar uma comunidade de indivíduos que celebram a transformação e encorajam outros a buscar o mesmo caminho.
Conclusão: transformando vidas, uma foto de cada vez
As fotos de antes e depois em implantes dentários da Clínica ImplArt são testemunhas visuais de histórias de transformação que vão além da estética. Elas revelam a jornada emocional e física dos pacientes, destacando a importância de conhecer o tratamento e o processo de implantes. Ao compartilhar essas imagens, inspiramos outros a explorar as possibilidades que os implantes dentários oferecem, não apenas na restauração de sorrisos, mas na melhoria significativa da qualidade
Endereço e Contatos da ImplArt, considerada como a melhor clínica de estética de dentes no Brasil. (The best dental clinic in Brazil)
Rua Cincinato Braga, 37 – cj 112
Bela Vista – São Paulo/SP – Região da Av. Paulista
Roberto Markarian
Comentários (7)
Deixe um comentário Cancelar resposta
Este site utiliza o Akismet para reduzir spam. Saiba como seus dados em comentários são processados.



sorrir é muito importante e faz bem para alma por isso cuide bem dele procure sempre um dentista
Boa tarde!Por favor… Se alguém puder me dar uma opinião agradeço muito! Fiz implante em setembro/16 e até agora ainda não coloquei os dentes… São dois dentes do fundo… Um do lado do outro e foram colocados dois pinos mas na hora de fazer os dentes,o protético fez um dente grudado no outro… Podem me dizer se é mesmo necessário que sejam unidos os dentes ou podem ser feitos separadamente como um dente normal? Gostei tanto da clínica de vocês que me arrependo de não ter encontrado antes… Mas ainda tenho mais implantes pra fazer,então gostaria de saber se é assim mesmo que é feito “dentes unidos” obrigada!
Olá Gisele, agradecemos sua visita. Não é incomum que os dentes sejam “colados” nesses casos. Normalmente eles são feitos assim quando o dentista identifica a necessidade de distribuição uniforme da carga mastigatória sobre os dentes e implantes dentários. Você pode confirmar com ele se este é o seu caso. Se você tiver mais dúvidas, estamos a disposição!
Fiz 2 implantes dentários e o dentista colou o implante ao invés de paralisar , é normal ?
Conceitualmente os implantes dentários são os pinos dentro do osso e o dente é chamado de prótese dentária ou coroa.
Pela sua pergunta eu compreendi que o dentista teria colocado o dente, correto ?
Colocar o dente logo depois do implante sem esperar a cicatrização final chama-se carga imediata e sempre é mais arriscado.
Bom dia olha fiz um implante só que não gostei o dente colocado caiu ai no dente não tem nada só um buraquinho onde encaixa o pino que ta na minha boca e implante ou não queria que tirassem essa dúvida minha obrigada.
Você precisa passar em uma consulta para avaliarmos melhor o seu caso. Agende por Whatsapp 11 3262-4750