
Quanto custa um implante com carga imediata
Uma das principais perguntas dos pacientes é quanto custa um implante dentario. Mas, se você perdeu um ou mais dentes e gostaria de repô-los, a técnica de carga imediata implante pode ser uma alternativa para recuperar o sorriso de forma rápida. Trata-se de uma técnica em que o implante dentário e a coroa, ponte ou prótese total são fixados em uma sessão, ou em poucas sessões.
O que você precisa saber sobre carga imediata e implantes dentários

Para que servem os tratamentos com implante com carga imediata rápida
Os tratamentos com implante dentario visam atingir uma estética natural com o tratamento. Atualmente há diversos tipos de implantes dentarios, com prazos de cicatrização variados, e características distintas. Portanto, logo em sua consulta inicial conseguiremos apontar quais os mais adequados para seu caso, e você poderá escolher qual prefere junto ao implantodontista, e saber os valores para cada tipo proposto.
Sobre o tratamento de implantes, é importante saber que na maioria dos casos é possível fazer a extração do dente comprometido e instalação do implante dentario na mesma cirurgia. Dessa forma, o paciente é submetido a apenas uma cirurgia, e um processo de recuperação só.
Saiba que como há diversos tipos de implantes dentários, bem como diversos tipos de próteses, o valor de seu tratamento de implante poderá variar conforme os tipos e técnicas escolhidas.
Como é carga imediata de dentes? Qualquer pessoa pode fazer?
Importante saber que a viabilidade desta técnica de implante com carga imediata deve ser avaliada caso a caso. Importante saber que atualmente há diversos tipos de implantes dentários, capazes de acelerar o prazo de tratamento. Há inclusive implantes de rápida cicatrização capazes de osseointegrar em apenas 1 mês, em condições ideais.
Os implantes Straumann Slactive permitem cicatrização de 1 mês. Há também o implante cerâmico, da Straumann, único sem metal, que permite cicatrização de 2 meses. A técnica consiste na colocação de um, alguns ou vários implantes dentários distribuídos em toda arcada, seja carga imediata superior, como carga imediata inferior.
Logo em seguida é fixada uma prótese provisória no mesmo dia ou poucos dias, para que o paciente não fique sem dentes no período de osseointegração dos implantes dentários. Em situações muito favoráveis, a prótese definitiva pode ser colocada nos primeiros dias, mas cada caso precisa ser avaliado individualmente.
O diferencial desta técnica é sem dúvida a redução do tempo de tratamento, permitindo que o paciente saia do consultório com um novo sorriso.
Entretanto sua recomendação deve ser bastante criteriosa, para que não haja riscos ao sucesso do tratamento. Por isso, devemos destacar que nem sempre a carga imediata sobre implantes poderá ser realizada. Primordialmente deve ser avaliada a qualidade óssea, e portanto há situações nas quais ela é contraindicada.
E quais são as situações favoráveis para receber esta técnica? Quem não pode fazer carga imediata?
Para explicar isso, é preciso ter em mente que os principais requisitos para estimar o sucesso de qualquer técnica de implante dentário é: quantidade e qualidade óssea, boa saúde bucal e geral e hábitos saudáveis.
Para a carga imediata, esses pré requisitos são mais importantes ainda. Por isso, antes de mais nada o paciente precisa ser muito bem avaliado pelo cirurgião dentista para certificar de que existem chances de a carga imediata ser bem sucedida.
O que significa boa quantidade e qualidade óssea?
Para colocar o implante dentário, é preciso que haja volume ósseo suficiente, tanto em altura, como em largura, para que haja a estabilização primária, ou seja, que o implante permaneça fixo no osso até que ocorra a completa osseointegração (integração dos implantes no osso – estabilidade secundária).

Observe na primeira imagem como é um defeito ósseo que inviabiliza a colocação do implante. A segunda imagem é a simulação de enxerto ósseo, e a seguir, a colocação do implante dentário.
Quase sempre não há possibilidade de realizar a carga imediata quando há pouco volume ósseo, mesmo com a técnica de enxerto ósseo, pois o enxerto também precisa de um tempo de cicatrização e gerar carga sobre está região só atrapalharia esse processo.
Da mesma maneira, a qualidade óssea é um quesito fundamental. Osso com pouca densidade, ou que afetada por infecção (como é o caso da periodontite) inviabilizam a carga imediata porque diminuem a chance de estabilidade.
Em muitos casos, a cirurgia de implante dentario pode ser feita no mesmo dia da extração de um dente. Esta junção dos dois procedimentos, de implante dentario e extração, quando possível, reduz o número de cirurgias às quais o paciente precisa ser submetido.
E quanto a boa saúde bucal e geral e hábitos saudáveis, o que é preciso para colocar implante com carga imediata?
São vários aspectos que serão observados em consulta com o dentista para certificar de que a carga imediata pode ser indicada, porém podemos antecipar que:
- A pessoa não pode ter periodontite, que é uma doença infecciosa dos tecidos orais e afetam a qualidade óssea e a osseointegração
- Gengivite, placa e tártaro devem estar controlados. Se esses quadros são recorrentes na vida da pessoa, a carga imediata não é recomendada
- Doenças sistemas que afetam a qualidade óssea, como a osteoporose, e a que afetam a capacidade de cicatrizações, como a diabetes, geralmente contra indicam a técnica de carga imediata.
- Portador de bruxismo não é uma indicação para a carga imediata
- O hábito de fumar inviabiliza a carga imediata, pois o fumo afeta a saúde dos tecidos orais, a qualidade óssea e a atrasa a cicatrização.
- Maus hábitos de higiene bucal contra indicam a técnica de carga imediata
- Outras condições bucais, de saúde geral e hábitos serão avaliados na consulta.
O avanço tecnológico dos materiais dentários está favorecendo cada vez mais o emprego da técnica
Além de condições ideais de saúde e dos hábitos do paciente, outro evento que vem permitindo que mais pessoas sejam beneficiadas com a carga imediata é a alta tecnologia dos materiais utilizados nas melhores clínicas de implantes dentários.
Implantes com tecnologia que acelera a osseointegração, liga mais resistente, implantes curtos e mais estreitos são alguns exemplos, e todos estão disponíveis na clínica ImplArt.
A finalidade da carga imediata é programar o tratamento para iniciar e finalizar no período de até 72 horas, incluindo a instalação cirúrgica dos implantes e instalação da prótese definitiva.
Facilita muito a execução da carga imediata o trabalho coordenado entre cirurgião dentista e laboratório de prótese equipado com tecnologias avançadas, como escâneres e impressoras 3D.
A ImplArt Odontologia conta com dentistas especializados em implantes dentários (Implantodontia), em próteses dentárias (Protesista), e Laboratório de Prótese Dentária próprio, equipado com as mais modernas tecnologias para elaborar próteses de forma muito rápida.
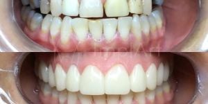
Foto de implante carga imediata antes e depois

Quais os riscos da carga imediata?
Como citado anteriormente, a técnica de carga imediata só pode ser indicada para casos específicos em que há expectativa de que o tratamento será bem sucedido. É importante buscar realizar esse procedimento com um profissional capacitado e experiente com esse tipo de técnica.
Ainda assim, como ocorre em qualquer procedimento cirúrgico, há uma porcentagem de procedimentos que passam por problemas não previstos. O principal risco é haja carga extra sobre o implante que atrapalhe sua cicatrização e osseointegração.
Isso pode ocorrer por falha de planejamento ou principalmente por falta de cooperação do paciente no período de recuperação do implante carga imediata. Outro risco é de infecção de algum tecido ao redor do implante, que é a periimplantite.
A colaboração do paciente é fundamental para o sucesso do tratamento, pois se ele não seguir as recomendações do cirurgião dentista no período o pós-operatório, há riscos de problemas.
Lembre-se de visitar o dentista regularmente!
Quanto custa um implante com carga imediata? Carga imediata valor / Carga imediata implante valor / Carga imediata dentes valor / Carga imediata preço
Para ter acesso aos valor de implante dentario e demais tratamentos, além de formas de pagamento de um tratamento com carga imediata, é necessário passar em consulta de avaliação. Para sua comodidade, também atendemos avaliações por Consulta Online com Dentista. Agende agora mesmo sua consulta na clínica odontológica Implart clicando no botão abaixo:
Endereço e Contatos da ImplArt, considerada como a melhor clínica de estética de dentes no Brasil. (The best dental clinic in Brazil)
Rua Cincinato Braga, 37 – cj 112
Bela Vista – São Paulo/SP – Região da Av. Paulista
Roberto Markarian
Este site utiliza o Akismet para reduzir spam. Saiba como seus dados em comentários são processados.




Deixe um comentário