
Lentes de contato dentais para fechamento de diastemas
Diastemas são uma condição caracterizada quando o paciente apresenta espaço entre os dentes ou quando há a ausência de contato lateral entre dois ou mais dentes consecutivos. Como alternativa de tratamento, surgem as lentes de contato dental. O diastema não interfere diretamente nas atividades do paciente, entretanto podem gerar desconforto estético. Portanto a mastigação não é alterada e a arcada não deve sofrerá com complicações no futuro caso o diastema seja mantido.
A decisão de tratar o diastema é normalmente para melhorar a estética do sorriso. Dessa forma o espaço entre os dentes, que incomoda esteticamente, pode ser tratado de duas formas, uma delas com aparelhos ortodônticos e a segunda, com a realização de Lentes de Contato em Porcelana. Ambas situações permitirão reduzir o espaço entre os dentes, diastema, e melhorar a estética do sorriso. No caso da realização das lentes de contato dentais podemos utilizar o planejamento estético do sorriso.
Conteúdo deste artigo – Lentes de Contato e diastemas
Porque surgem os diastemas?
Os diastemas podem ser fisiológicos, patológicos (localizados ou generalizados) ou provocados devido a disjunção palatal. Podem ser provocados também por ausência dental, em decorrência da perda de algum dente.
Pode aparecer durante a dentição decídua, nascimento dos dentes, com espaços generalizados. Na dentição mista a situação também pode acontecer, mas na maioria dos casos (cerca de 82%) o fechamento é espontâneo e não é preciso intervir. Outras causas dos diastemas:
- Retração gengival
- Ausência de um ou mais dentes
- Freio labial longo
- Hábito de chupar chupeta ou então dedo na infância
- Pressão da língua
- Doença periodontal






Lentes dentais para fechamento de diastemas
A lente contato dental é uma lâmina de porcelana muito fina que pode ser aplicada sobre os dentes para alterar o cor e formato, inclusive para fechar o espaço entre os dentes. Dessa forma, são realizadas com tecnologia moderna de planejamento do sorriso de forma computadorizada.
Portanto, o paciente consegue antever os resultados antes da conclusão do tratamento. Na Clínica Odontológica ImplArt contamos com a mais moderna fresadora em nosso Laboratório digital, que permite imprimir Lentes de contato ultrafinas.
Além disso, as lentes de contato ultrafinas oferecem uma solução estética de alta qualidade para corrigir imperfeições nos dentes, como manchas, descoloração e até mesmo desalinhamento leve. Esses dispositivos são feitos de materiais de alta qualidade e são personalizados para se encaixarem perfeitamente nos dentes do paciente. Certamente com o uso da fresadora de última geração, podemos garantir um ajuste preciso e confortável.
Ao optar pelo planejamento do sorriso de forma computadorizada, os pacientes têm a oportunidade de visualizar virtualmente como seu sorriso ficará após a colocação das lentes de contato ultrafinas. Isso permite que eles façam ajustes e tomem decisões mais informadas antes de prosseguir com o tratamento.
Além disso, o processo de fresagem digital em nosso laboratório permite uma produção mais rápida e precisa das lentes de contato ultrafinas. Isso significa que os pacientes podem desfrutar de resultados estéticos incríveis em um tempo mais curto, sem comprometer a qualidade do tratamento.
Em resumo, o planejamento do sorriso de forma computadorizada e a utilização da fresadora de última geração em nosso laboratório digital são avanços tecnológicos que nos permitem oferecer tratamentos odontológicos de alta qualidade, personalizados e eficientes. As lentes de contato ultrafinas são uma opção estética popular para melhorar o sorriso dos pacientes, proporcionando resultados duradouros e naturais.

O Cerec Primemill é uma avançada tecnologia alemã nos permite, dessa forma, realizar trabalhos protéticos diversificados. Por exemplo, prótese fixa sobre implante dentário, coroas de porcelana, coroas metal free em zircônia, lentes de contato dentais e restaurações estéticas.
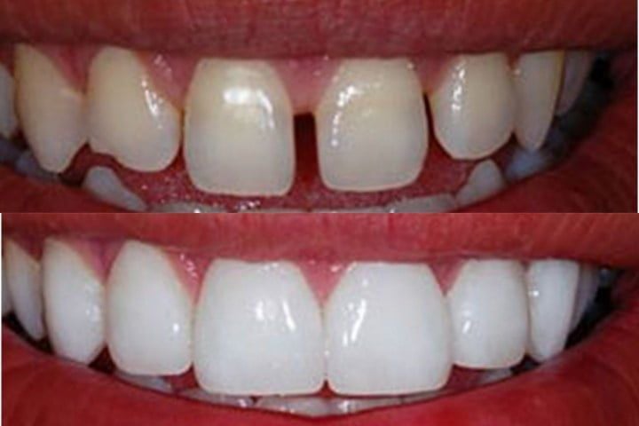
Neste caso, por exemplo, planejamos a alteração de cores e formatos dentais para corrigir o diastema (espaço aumentado entre os dentes).
Entre em contato conosco, e agende sua consulta na Clinica Dentaria ImplArt. Estamos à disposição para realizar esse tratamento em Day Clinic.
Endereço e Contatos da ImplArt, considerada como a melhor clínica de estética de dentes no Brasil. (The best dental clinic in Brazil)
Rua Cincinato Braga, 37 – cj 112
Bela Vista – São Paulo/SP – Região da Av. Paulista
Roberto Markarian
Este site utiliza o Akismet para reduzir spam. Saiba como seus dados em comentários são processados.




Deixe um comentário