
Implante dentário em quem usa aparelho ortodôntico
É possível realizar implante em quem está em tratamento ortodôntico ou que já finalizou o alinhamento dos dentes com aparelho ortodôntico? Sim, aliás, ambos tratamentos (ortodôntico e com implante) podem andar em conjunto!
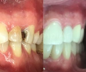
Quando há perdas dentárias não repostas imediatamente com implan…











