
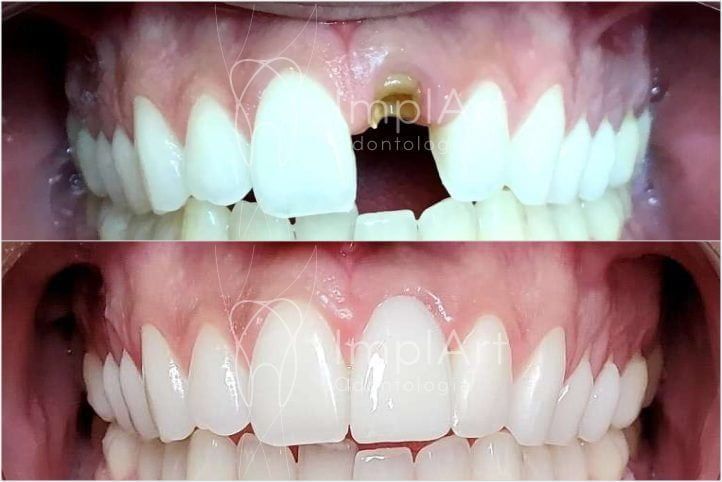
Extração de um dente infeccionado e implante em seguida: é possível?
Essa é uma dúvida comum em pacientes que necessitam extrair um dente infeccionado ou outros acometimentos, e gostaria de substituí-los por implantes e próteses fixas em seguida. De uma forma geral, os implantes dentários podem ser colocados no lugar do dente infeccionado.
Também com doença periodontal pré-existente, cistos ou lesões, desde que não haja grande comprometimento da estrutura óssea e gengival. Essa técnica é chamada de implante imediato e tem baixa probabilidade de insucesso.
Conteúdo do Artigo
Porque devo remover o dente infeccionado o quanto antes
Remover o dente infeccionado o quanto antes é importante para evitar complicações adicionais, como propagação da infecção, dor intensa e danos aos tecidos circundantes. Além disso, a remoção precoce pode ajudar a preservar a estrutura óssea e gengival, facilitando a colocação de um implante dentário no futuro, se necessário. Portanto, é recomendado buscar tratamento odontológico imediato para remover o dente infeccionado e evitar complicações futuras.
A rapidez desse processo é uma forma de garantir conforto e autoestima ao paciente nessas situações. Isso porque ele não precisa mais ficar sem dentes em nenhum momento. As principais infecções e acometimentos que podem resultar em uma extração dentária são:
- Cárie em estágio avançado
- Periodontite
- Fratura grave
- Em alguns casos quando o canal está infeccionado, danificado ou então morto.
Obviamente, o implante imediato pós-infecção exige cuidados extras na execução e manutenção, não tanto do implantodontista, quanto do paciente. A seriedade do implantodontista se deve no controle total da doença que causou a extração, que vai desde a limpeza mecânica e química da área até a prescrição de antibióticos no pré e pós-operatório para prevenção de infecções.
Já com relação ao paciente, cabe-lhe tomar a medicação prescrita de forma correta, a cautela com o esforço mastigatório nos primeiros meses, o cuidado redobrado com a higienização oral adequada (no pré e pós-operatório e ao longo dos anos) e comparecimento às visitas regulares ao consultório odontológico para devidas manutenções.
Saiba mais sobre doença periodontal
Preciso fazer Enxerto ósseo quando o dente tinha uma infecção ?
Quando há um comprometimento mais extenso da estrutura óssea e gengival (a preservação dessas estruturas são essenciais para receber e sustentar os implantes), é possível que o cirurgião prepare a área e aguarde que o organismo inicie uma regeneração óssea naturalmente e formar a estrutura ideal para colocação dos implantes, evitando assim a necessidade de reconstrução por enxertos ósseos.
Esse processo pode levar de 3 a 6 meses, portanto, exige paciência. Em últimos casos, a recomendação pode ser a reconstrução da estrutura óssea com materiais de enxertos naturais ou sintéticos. A técnica de implante imediato para substituição de dentes infeccionados exige predisposição e um pouco mais de paciência, mas tem tudo para ser um sucesso.
A técnica de implante imediato para substituição de um dente infeccionado exige predisposição e um pouco mais de paciência, mas tem tudo para ser um sucesso. É importante que o organismo inicie uma regeneração óssea naturalmente e forme a estrutura ideal para a colocação dos implantes, evitando assim a necessidade de reconstrução por enxertos ósseos. Esse processo pode levar de 3 a 6 meses, portanto, exige paciência. Em últimos casos, a recomendação pode ser a reconstrução da estrutura óssea com materiais de enxertos naturais ou sintéticos.
Clinica ImplArt
A Clínica ImplArt é composta por profissionais especialistas em implantes dentários, tendo realizado milhares de procedimentos com seriedade e resultados muito satisfatórios. Venha nos fazer uma visita!
Endereço e Contatos da ImplArt, considerada como a melhor clínica de estética de dentes no Brasil. (The best dental clinic in Brazil)
Rua Cincinato Braga, 37 – cj 112
Bela Vista – São Paulo/SP – Região da Av. Paulista
Roberto Markarian
Este site utiliza o Akismet para reduzir spam. Saiba como seus dados em comentários são processados.





Deixe um comentário