
Por que trocar sua prótese fixa sobre dentes por implante com coroa?
A prótese fixa sobre dentes é uma solução eficaz para suprir dentes ausentes, mas existem algumas desvantagens se ela for comparada aos implantes dentários com coroa. A principal e a mais preocupante desvantagem é a reabsorção óssea que ocorre ao longo dos anos e pode comprometer a estética bem como a saúde do paciente.
A reabsorção óssea é uma complicação comum na prótese fixa sobre dentes. Isso pode afetar tanto a estética quanto a saúde do paciente. Além disso, a prótese fixa pode exigir um desgaste dos dentes adjacentes saudáveis, o que pode ser prejudicial a longo prazo. Outra desvantagem é a dificuldade de higienização adequada da prótese fixa, o que pode levar a problemas dentários e gengivais. Por fim, a prótese fixa pode apresentar um maior risco de fraturas ou descolamentos em comparação com os implantes dentários com coroa.
Vamos abordar mais profundamente o tema a seguir:
Prótese fixa sobre dentes ou implante + coroa ?
Implante dentário traz segurança e tranquilidade
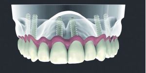
O paciente tem a alternativa de trocar sua prótese fixa sobre dentes por implante com coroa para individualização da prótese. Sobretudo, a forma de instalação da prótese fixa sobre dentes é muito diferente da colocação de implantes com coroa. Então veja na imagem a seguir como é esse procedimento.

Já o Implante dentário traz segurança e tranquilidade. O paciente tem a alternativa de trocar sua prótese fixa sobre dentes por implante com coroa para individualização da prótese. Sobretudo, a forma de instalação da prótese fixa sobre dentes é muito diferente da colocação de implantes com coroa.
Como dito anteriormente, o grande problema desse tipo de prótese é o avanço da perda óssea que acontece ao longo do tempo. Isso ocorre porque o osso que sustentava o dente ausente não tem mais função e o organismo inicia um processo de reabsorção desse osso. Tanto tecido ósseo como gengiva vão se recolhendo ao longo tempo e a prótese não acompanha esse movimento, portanto, um espaço extra pode surgir entre a prótese e os tecidos.
Tudo isso causa um grande comprometimento estético do sorriso.
Além do prejuízo estético, há certamente risco para a saúde do paciente. O desgaste dos dentes vizinhos para instalação da prótese fixa deixa os dentes fragilizados e sujeitos a fraturas, doenças periodontais bem como infiltração bacteriana.
O recolhimento do osso e gengiva expõe as raízes dos dentes vizinhos, deixando-as suscetíveis a cáries e proliferação bacteriana nas polpas dentárias. Nesse caso, o paciente pode precisar passar por um tratamento de canal ou até mesmo extrair os dentes.
A grande vantagem em substituir a prótese fixa sobre dentes por implante com coroa certamente é a paralisação da reabsorção óssea. A inserção do pino de implante no osso substitui a raiz do dente perdido. Ou seja, o organismo entende que o osso ali na região ainda tem função de suporte. Veja esses exemplos na imagem a seguir:
Existem ainda outras vantagens do implante com coroa:
- A possibilidade de utilizar fio dental;
- A preservação da integridade dos dentes vizinhos (que não precisam sofrer desgastes);
- A proteção do tecido ósseo e gengival contra doenças periodontais e infiltrações;
- É mais resistente e durável em relação à prótese fixa sobre dentes ou prótese móvel;
- O restabelecimento da função mastigatória e da segurança para falar e sorrir;
- Resultado certamente estético. A coroa protética imita cor, textura e formato dos dentes vizinhos e ficam indistinguíveis no conjunto do sorriso.
Curiosidade: Recentemente recebemos um paciente que confundiu o termo Prótese Fixa por Prótese Fisica.
Conclusão
É recomendada a substituição da prótese fixa sobre dentes por implante com coroa o quanto antes para evitar perda óssea. Se o paciente usa prótese fixa sobre dentes por muitos anos e há perda óssea, será avaliado para saber se implante com coroa é viável.
O implante dentário precisa de volume ósseo para ser instalado (deve ficar dentro do osso). Portanto pode ser necessário reconstruir o volume perdido com enxerto ósseo e gengival. Os dentes que foram utilizados como suporte da prótese fixa precisam de avaliação para determinar se poderão ser mantidos ou extraídos.
Se for constatado que eles poderão ser mantidos, o dentista pode restaura-los com coroa protética para dar forma e proteção ao dente. Em caso de dúvidas, agende uma consulta ou então entre em contato conosco. Ficaremos felizes em atendê-lo.
Endereço e Contatos da ImplArt, considerada como a melhor clínica de estética de dentes no Brasil. (The best dental clinic in Brazil)
Rua Cincinato Braga, 37 – cj 112
Bela Vista – São Paulo/SP – Região da Av. Paulista
Roberto Markarian
Comentários (2)
Deixe um comentário Cancelar resposta
Este site utiliza o Akismet para reduzir spam. Saiba como seus dados em comentários são processados.





Desgastes meus dentes e coloquei outro em cima mas estão feitos gostaria de troca los como faço
Olá Sheila, agradecemos seu contato. Você deve procurar um dentista para trocar suas coroas por um material mais estético, como a porcelana.