
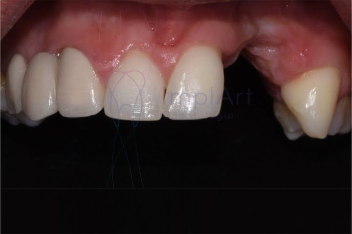
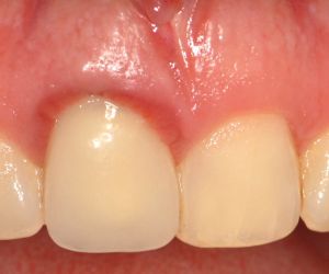
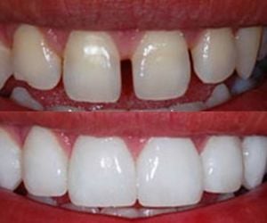
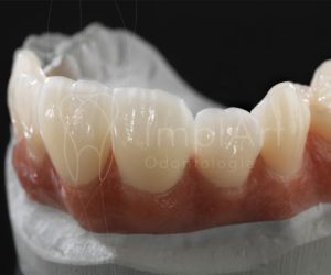
Restaurando Sorrisos com Precisão: Implante Dentário Parcial na Clínica ImplArt
A busca por um sorriso perfeito e funcional leva muitos pacientes à Clínica ImplArt, onde o Dr. Markarian e sua equipe oferecem soluções avançadas em implantodontia. Os implantes dentários parciais representam uma dessas inovações, permitindo a recuperação estética e funcional com precisão e cuidad…











