
Epilepsia e a Odontologia: tratamento dental e implante dentário
Muitas pessoas não sabem, mas a epilepsia pode ser um dos fatores da perda de dentes precocemente ou facilmente. A patologia é caracterizada pelas convulsões. A pessoa possui diversas perturbações neurais que causam o desligamento momentâneo das sinapses, durante cerca de 2 a 5 minutos, que levam à convulsão.
Cuidados com a epilepsia na odontologia: algumas consequências para os dentes
O epiléptico pode passar por dois episódios de crises não provocadas com intervalo de no mínimo 24 horas. Devido a perda de consciência durante a convulsão, o paciente pode sofrer uma queda grave, o que pode comprometer os dentes por meio de fraturas dentárias, avulsões ou luxações.
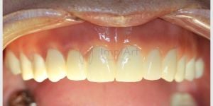
Em caso da perda do dente, o melhor tratamento é sempre o implante dentário. Em casos de fraturas dentárias também podem ser feitas restaurações e coroas para restabelecer a estética e funcionalidade do dente.
Pacientes com epilepsia devem fazer uso constante de anticonvulsivantes, mas por diversos motivos como esquecimento ou falta de recursos para comprar o remédio, as crises tornam-se sucessivas e podem causar a queda dos dentes.
Já, o uso constante do anticonvulsivo Hidantal pode causar hiperplasias e hipertrofias gengivais (também chamada de hiperplasia gengival dilantílica) e por isso, o dentista e o médico devem avaliar uma possível troca para outro medicamento que danifique menos os dentes.
Para evitar o agravamento do problema e não deixar que a epilepsia seja um agravante da condição dentária, a orientação preventiva de escovação diária, o uso correto do fio dental e a remoção da placa são práticas primordiais para evitar que a hipertrofia e a hiperplasia gengival se agrave e traga mais complicações.
Os paciente epilépticos devem informar sua condição para o dentista, já que não é indicado, por exemplo, o uso de lidocaína como anestésico. E para evitar constrangimentos, eles devem ir ao banheiro antes da consulta, pois as retenções hídricas podem aumentar as possibilidades de crise.
Se você ficou com alguma dúvida, entre em contato conosco através de um dos canais abaixo ou agende uma consulta por Whatsapp.
Endereço e Contatos da ImplArt, considerada como a melhor clínica de estética de dentes no Brasil. (The best dental clinic in Brazil)
Rua Cincinato Braga, 37 – cj 112
Bela Vista – São Paulo/SP – Região da Av. Paulista
Roberto Markarian
Este site utiliza o Akismet para reduzir spam. Saiba como seus dados em comentários são processados.






Deixe um comentário