
Epilepsia e a Odontologia: tratamento dental e implante dentário
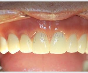
Muitas pessoas não sabem, mas a epilepsia pode ser um dos fatores da perda de dentes precocemente ou facilmente. A patologia é caracterizada pelas convulsões. A pessoa possui diversas perturbações neurais que causam o desligamento momentâneo das sinapses, durante cerca de 2 a 5 minutos, que lev…











