
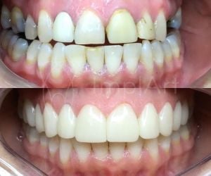
Recuperação de um implante dentário: quanto tempo?
A reabilitação oral com implantes dentários é certamente a melhor opção para melhorar a função e a estética do sorriso naquelas pessoas que perderam os dentes por algum motivo. No entanto muitas pessoas ficam preocupadas com o período pós operatório. São dúvidas como por exemplo:
Qual é o tempo…









