Núcleo estético de fibra evita o uso de metal
Núcleo estético de fibra de vidro: indicações
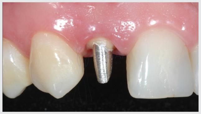
Na maioria das vezes, durante a reconstrução de um dente quebrado, é necessário reforça-lo posteriormente ao tratamento de canal com um núcleo, também conhecido como pino. O núcleo estético é certamente uma boa estratégia nesses casos.

O núcleo dental tem tripla finalidade:
- 1 – O núcleo reforça a estrutura dental.
- 2 – A presença de um núcleo veda a entrada bem como impermeabiliza o conduto ou canal da raiz, quando o canal foi tratado.
- 3 – Os núcleos servem de apoio e encaixe para a reconstrução (coroa dentária ou Onlay) em dentes que sofreram grandes destruições ou fraturas.
Na maioria dos casos, os núcleos são construídos em metal para que haja maior resistência. Também existem pinos pré-fabricados de fibra que ajudam em casos de reconstruções dentais menores em dentes que por exemplo não perderam muita estrutura.
Na Clínica Odontológica Implart podemos produzir núcleos estéticos para sua reconstrução dentária. Esses núcleos estéticos são produzidos em nosso laboratório por tecnologias computadorizadas com metodologia inovadora, primordialmente desenvolvida em nossa clínica. Explicaremos mais a seguir.
Núcleo de zircônia para estética
O material de constituição dos núcleos estéticos pode ser a zircônia ou a fibra de vidro. A ausência de metais certamente favorece a estética final do dente sem perda de resistência. O núcleo de zircônia é especialmente indicado para dentes da frente nos quais qualquer presença metálica atrapalharia o resultado estético da coroa. Mas também pode ser utilizado sem problemas nos dentes do fundo. Os núcleos servirão de reforço para o dente que receberá uma coroa de porcelana.

Porque e quando é necessário fazer um núcleo e coroa
https://implantesorais.com.br/por-que-e-preciso-colocar-um-nucleo-para-fazer-algumas-coroas/
Saiba mais sobre núcleo estético
Conheça mais sobre nosso trabalho, Contate-nos:
Endereço e Contatos da ImplArt, considerada como a melhor clínica de estética de dentes no Brasil. (The best dental clinic in Brazil)
Rua Cincinato Braga, 37 – cj 112
Bela Vista – São Paulo/SP – Região da Av. Paulista
Roberto Markarian
Este site utiliza o Akismet para reduzir spam. Saiba como seus dados em comentários são processados.

Deixe um comentário