
Restaurações metálicas: quando substituir por porcelana ou resina?
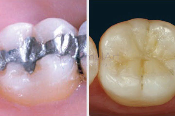
É comum que as pessoas busquem o consultório odontológico para substituição de restaurações metálicas antigas por restaurações mais estéticas, com o intuito de melhorar o visual do sorriso.
Restaurações conheça os tipos
Preocupação com a estética dental
Essa é uma preocupação natural, já que as amálgamas metálicas cumprem bem a função mastigatória e paralisam a deterioração dentária. Entretanto possuem coloração muito distinta dos dentes e ficam aparentes, mesmo instaladas nos dentes posteriores. As restaurações dentárias podem ser parciais (onlay, inlay, coroa parcial, restauração de dente fraturado) ou completas (coroa).
A restauração têm o objetivo de, primeiramente, devolver a função mastigatória do paciente, reforçar o dente e paralisar a deterioração geralmente ocasionada por cárie. O visual das restaurações até pouco tempo atrás não era uma grande preocupação. Nesse sentido, com o avanço das técnicas é cada vez maior o número de pessoas que também gostariam de restaurar seus dentes ou substituir restaurações antigas inestéticas por materiais mais naturais.
Saiba mais sobre prótese dentária computadorizada.
Hoje em dia, existem dois materiais utilizados em restaurações estéticas com características visuais similarmente aos dentes naturais: a porcelana e a resina composta. Visualmente e funcionalmente elas são muito parecidas, no entanto existem algumas vantagens da porcelana sobre a resina.



A porcelana se sobressai à resina em vários aspectos, principalmente deles é a resistência e durabilidade. As restaurações em porcelana podem durar até o dobro do tempo se comparadas as restaurações em resina. Por esse motivo, as restaurações em resina não são aconselhadas para corrigir grandes deteriorações, já que elas podem fraturar com o tempo.
Em contraste com isso, a porcelana é indicada para restaurações maiores (quando o dente está muito danificado), pois elas suportam mais carga na mastigação. Com o passar do tempo, as restaurações em resina também são suscetíveis a manchar com o consumo de alimentos pigmentados (como café, chá, vinho, beterraba, etc) e do tabaco. Já as restaurações em porcelanas são altamente resistentes a manchas.
Como é a confecção
A forma de instalação também é diferente nos dois materiais. A resina é um composto plástico, que é misturado e colocado diretamente na cavidade do dente em que houve a deterioração. Antes da aplicação, região é bem limpa e preparada para receber o material que é moldado no formato dos dentes.
O endurecimento do material é feito pela exposição à uma luz especial de fotopolimerização. Já a porcelana é composta por cerâmica de dissilicato de lítio. A restauração em porcelana é previamente projetada em computador e esculpida em impressora 3D.
A peça fica com encaixe perfeito e então é cimentada no dente do paciente. A tonalidade pode ser reproduzida para acompanhar o restante do dente. O tempo de instalação é rápido nas duas técnicas*, algumas vezes podendo ser resolvidas em apenas uma visita ao consultório pelo Day Clinic.
Outra necessidade peculiar das restaurações em resina, é que elas exigem mais cuidado do paciente com relação à higienização oral e consultas preventivas ao consultório.
Sobretudo sem esses cuidados a chance de recidiva da cárie é maior do que nas restaurações em porcelana. Pode se concluir que a restauração dentária em porcelana é certamente melhor que a restauração em resina composta.
Porém nem sempre a escolha do material é uma decisão unilateral do paciente. Em muitas situações, o material é escolhido após uma avaliação feita pelo profissional dentista. Dessa forma decide junto com o paciente qual técnica pode ser mais benéfica para solucionar o caso e suas particularidades.
Conheça a Clínica ImplArt
*A Clínica ImplArt possui laboratório de prótese próprio, que em muitos casos permite que a restauração seja feita em Day Clinic. Consulte essa possibilidade com a nossa equipe.
Endereço e Contatos da ImplArt, considerada como a melhor clínica de estética de dentes no Brasil. (The best dental clinic in Brazil)
Rua Cincinato Braga, 37 – cj 112
Bela Vista – São Paulo/SP – Região da Av. Paulista
Roberto Markarian
Este site utiliza o Akismet para reduzir spam. Saiba como seus dados em comentários são processados.




Deixe um comentário