
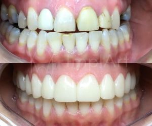
Prótese protocolo de resina com estrutura de titânio
A prótese protocolo Branemark é uma prótese dentária total para reabilitação oral de pessoas que perderam os dentes e possuem perda óssea considerável. Foi desenvolvida pelo médico ortopedista Per-Ingvar Branemark no inicio dos anos 60 e otimizada para prótese fixa em 1960.
O tratamento com impl…











