
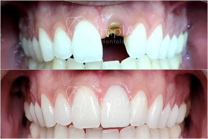
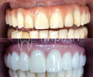
Extração de um dente infeccionado e implante em seguida: é possível?
Essa é uma dúvida comum em pacientes que necessitam extrair um dente infeccionado ou outros acometimentos, e gostaria de substituí-los por implantes e próteses fixas em seguida. De uma forma geral, os implantes dentários podem ser colocados no lugar do dente infeccionado.
Também com doença peri…











