
Estética Dental – Odontologia estética personalizada
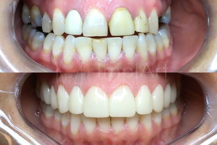
Se seus dentes estiverem manchados, descoloridos, desgastados, lascados, quebrados, desalinhados, deformados ou tiverem espaços entre eles, a odontologia estética moderna pode oferecer um sorriso melhor.
Estética dental abrange diversos procedimentos estéticos da odontologia para atingi…











