
Qual a diferença entre pivô, coroa e jaqueta?
É normal que haja duvidas nas pessoas entre a diferença de pivô, coroa e jaqueta.
Vamos tentar explicar a diferença de uma forma prática
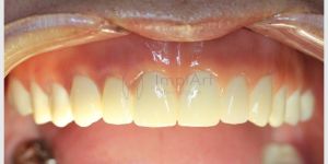
De uma forma geral, pivô coroa e jaqueta são técnicas restauradoras da forma e a estética de dentes que foram afetados por fratura, acidente ou cáries. A técnica de restauração a ser aplicada depende do nível de comprometimento do dente e da raiz.

Vejamos a seguir a diferença entre pivô coroa e jaqueta
Pivô
É um tipo de prótese dentária que necessita da instalação de um pino no interior da raiz com canal tratado. Em resumo, o pino serve para sustentar a coroa protética, bem como proteger a raiz tratada. O pino é normalmente fabricado em fibra de carbono, fibra de vidro ou liga metálica fundida, enquanto que a coroa pode ser de porcelana.
A instalação de um pivô só é possível quando raiz pôde ser preservada com tratamento de canal. Dessa forma, a coroa dentária deteriorada é removida integral ou parcialmente e substituída por uma coroa protética, que imita forma de cor dos dentes naturais. Quando não é possível a preservar a raiz, é recomendado extraí-la junto com o dente e instalar um pino de implante dentário de titânio para substitui-la, e em seguida instalar a coroa protética sobre o implante.
Coroa
A coroa é uma peça protética que substitui um dente perdido, seja por acidente ou por deterioração por cárie. Ela imita ao dente humano em forma, função e cor. Pode fabricado em diferentes materiais sendo os principais a porcelana, o metal e a resina (no revestimento), e zircônia computadorizada ou metal (na estrutura interna). A coroa pode ser instalada sobre um pino, colada sobre um dente preparado (afinado) ou então fixada sobre um pino de implante de titânio. Além disso também existe a coroa parcial, uma peça que supre parte da coroa dentária quando esta se encontra com a estrutura parcialmente deteriorada.
Jaqueta
É o mesmo que coroa, porém um termo quase em desuso na odontologia atual. A origem da expressão jaqueta se deve pelo formato da coroa, que envolve o pino ou então o dente desgastado. Em caso de dúvidas sobre pivô, coroa e jaqueta, agende uma consulta ou então entre em contato conosco. Ficaremos felizes em atendê-lo.
Endereço e Contatos da ImplArt, considerada como a melhor clínica de estética de dentes no Brasil. (The best dental clinic in Brazil)
Rua Cincinato Braga, 37 – cj 112
Bela Vista – São Paulo/SP – Região da Av. Paulista
Roberto Markarian
Comentários (20)
Deixe um comentário Cancelar resposta
Este site utiliza o Akismet para reduzir spam. Saiba como seus dados em comentários são processados.




Aceita convênio
Olá Márcio, obrigado pelo seu contato. Infelizmente não atendemos por convênios, apenas particular. Estamos a disposição.
Oi quanto custa pra colocar uma coroa?
Olá Fran, agradecemos seu contato. Por determinação do Conselho Federal de Odontologia, preços de tratamentos odontológicos só podem ser informados mediante consulta presencial. Aguardamos sua visita!
Boa tarde estou fazendo implante do dente da frente so qie eu tinha visto que o dente e furado de cima em baixo e que o parafuso rosqieia esse dente e agora estou fazendo mas colocaram um pino grande e disseram que e colado estou me sentindo lezada pode me explicar e se é mais barato
Olá Andreia, tudo bem? Você poderia me dizer se você está na fase de provisório ou definitivo? Eu não entendi muito bem sua pergunta.
vcs estão de parabéns por estarem ajudando a levantar a aura estima de pessoas q perderam os dentes
Olá Trícia. Agradecemos sua visita e seus elogios! Volte sempre!
Quero colocar duas coroa na frente uma sentença ta com raiz outro não quais são as diferenças de preço e o mesmo preço o não. ????
Olá Silvia. É difícil responder isso sem ter detalhes do seu caso.
Vocês têm consultórios no Rio de Janeiro?
Olá Maria Teresa, tudo bem? Infelizmente não possuímos consultório no Rio de Janeiro. Abçs
Oil gostaria de saber quando. um dente fica impossibilitado de se fazer uma restauraçao. a pino?
Um dente fica impossibilitado de fazer uma restauração a pino (núcleo e coroa), quando a estrutura de suas raízes fica muito enfraquecida ou já se quebrou.
O enfraquecimento pode ocorrer por cáries, fraturas ou tratamentos de canal.
Caso o dente fique muito frágil, precisará ser extraído para a colocação de implantes odontológicos.
Olá,vcs têm consultório aqui em Brasília?
Nossa clínica odontológica está localizada em São Paulo na região da Av Paulista.
Boa dia, que tirar uma dúvida, eu fiz um canal a muito tempo e acho q o dentista colocou uma coroa ou pino pq quebrou meu dente.Queria saber sobre manutenção, tem q trocar com o tempo?
Zuleide.
Um dente com canal e pino não deveria se soltar nem quebrar. Caso isso aconteça há uma grane chance de que seja necessário um implante dentário.
É possível refazer uma coroa com mesmo pino?
Se a raiz do dente estiver em boas condições e o pino também não haveria empecilhos em refazer a coroa.