
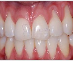
Implante de Três Dentes Juntos – Como fazer ?
A perda de dentes é uma experiência que muitas pessoas enfrentam devido a várias razões, como doença periodontal, cárie dentária ou trauma. Felizmente, a odontologia moderna oferece várias soluções eficazes, sendo uma delas o implante dentário. Neste artigo vamos abordar especificamente a necessida…











