
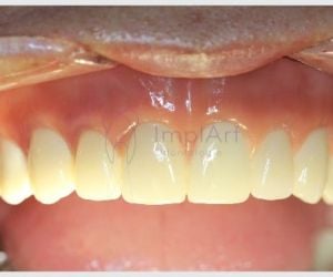
Implantes dentários: alimentação e cuidados após a cirurgia
Uma dúvida frequente entre os pacientes que passam pela cirurgia de colocação de implantes dentários certamente é a respeito da alimentação após a cirurgia, como ela deve ser, e o que se dever comer.
Após a cirurgia de colocação de implantes dentários, é importante ter cuidados com a alimentação…











