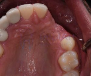
Grânulos De Fordyce
Grânulos de Fordyce: O que são e como identificá-los
Segundo o Dr Roberto Markarian, implantodontista, s grânulos de Fordyce são pequenas glândulas sebáceas que podem aparecer na superfície da pele, especialmente nos lábios e na mucosa bucal. Eles são frequentemente confundidos com outros…











