
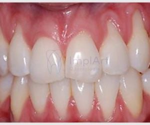
Qual a diferença entre pivô, coroa e jaqueta?
É normal que haja duvidas nas pessoas entre a diferença de pivô, coroa e jaqueta.
Vamos tentar explicar a diferença de uma forma prática
De uma forma geral, pivô coroa e jaqueta são técnicas restauradoras da forma e a estética de dentes que foram afetados por fratura, acidente ou cáries…











